Here’s my story… I’ll warn you that it is pretty long and you may learn more about me than you ever wanted to know. I was inspired to write down my life story after reading “The Case for Faith” and the “Quiet Strength.” My story is broken up into 16 chapters. The first part (the introduction) is actually an excerpt from the book “The Case for Faith.” I took a few points from the book. I wanted to share some of these points from the book because the author explains it better than anyone I’ve ever heard. This will give you a good understanding about my life’s story.
INTRODUCTION: God Is All-Knowing
“How can a mere finite human be sure that infinite wisdom would not tolerate certain short-range evils in order for more long-range goods that we couldn’t foresee?”
“Okay, then, imagine a bear in a trap and a hunter who, out of sympathy, wants to liberate him. He tries to win the bear’s confidence, but he can’t do it, so he has to shoot the bear full of drugs. The bear, however, thinks this is an attack and that the hunter is trying to kill him. He doesn’t realize that this is being done out of compassion. Then, in order to get the bear out of the trap, the hunter has to push him further into the trap to release the tension on the spring. If the bear were semiconscious at that point, he would be even more convinced that the hunter was his enemy who was out to cause him suffering and pain. But the bear would be wrong. He reaches this incorrect conclusion because he’s not a human being. I believe God does the same to us sometimes, and we can’t comprehend why He does it any more than the bear can understand the motivations of the hunter.”
“The death of God himself on the cross. At the time, nobody saw how anything good could ever result from this tragedy. And yet God foresaw that the result would be the opening of heaven to human beings. So the worst tragedy in history brought about the most glorious event in history. And if it happened there, if the ultimate evil can result in the ultimate good, it can happen elsewhere, even in our own individual lives. Here, God lifts the curtain and lets us see it. Elsewhere He simply says, ‘TRUST ME‘.”
“As you do not know the path of the wind, or how the body is formed in a mother’s womb, so you cannot understand the work of God, the Maker of all things” (Ecclesitates 11:5).
CHAPTER 1: My Background
I was born and raised in Chicago about a mile west of Wrigley Field. At the age of 14 my parents decided to move to Oklahoma. I attended Adair High School from my sophomore year through senior year. After graduating from high school, I attended OSU. Growing up everyone told me I should be an engineer (since I was really good in math & science). That’s why I decided to attend OSU, it is one of the top 5 undergraduate engineering schools in the country. However, in the back of my mind I really wanted to be a teacher… but I was fighting that urge because I wanted to be viewed as successful… and I wanted to be in a highl
y respected occupation (that was my pride talking). After my first semester, I decided to transfer out of engineering. My heart just wasn’t in it. An uncle of mine from Chicago, who happens to be a very successful stockbroker in Chicago that once worked on the floor of the Chicago Board of Exchange, gave me a call. I always admired him and looked up to him. I wanted to be just like him. Every year for Christmas I would ask for a suit, just so I could look just like him. He is just like me, half Japanese and half Caucasian. In high school he excelled in sports and grades… and so did I. He also had an older brother who was a lot like my brother. So when he called me… I listened. I told him I was considering becoming a teacher, but I was struggling with the decision because I didn’t want to disappoint my family. He told me a few stories and gave me reasons why I should get a business degree. He said, “Everything you do in life is business related. For example, a teacher provides a service and gets paid for that service. That’s a business transaction. So no matter what you end up doing in life, you can’t go wrong with getting a business degree. It will take you anywhere you want to go in life.” Since I looked up to him so much, I listened intently and decided he was right. Plus, ever since I was a little kid I wanted to be just like him. So I switched my major to finance and thought I’d end up being a stockbroker in Wall Street someday.
I thought about switching my degree again while I was still in college and seriously considered switching it to teaching. A close friend of mine almost did too. I finally decided I would stick with my finance degree and go make millions to “change the world” with money. In my business classes we’d always hear how, “money makes the world go around”. Just in case you were wondering, it took me 4 1/2 years to graduate with my finance degree and commercial bank management degree
, but I also had minors in economics, accounting, and international business. When my senior year finally arrived I made up my mind that I’d get a stockbroker job and move to New York someday to work on Wall Street. However, I spent my last summer working as in intern at my church with the youth program (God planted a seed that summer). I had other summer internship opportunities, but none of them seemed like the right fit. During my last semester when I started looking around for companies to work for, none of the investment companies really blew me away so I started looking at banks. I thought, why not since I had a commercial bank management degree and knew I would still have an opportunity to work in an investment group. Bank of Oklahoma was the only bank that really stood out. It was a regional bank, not too big… but not too small. It had all the big bank services. I figured I could get to know everyone at the bank and move up the corporate ladder much faster. It was also owned by a local billionaire in the oil & gas industry (George Kaiser), so we would be pretty safe from a hostile takeover (which was a relief). I interviewed with BOk and they offered me a job. However, during the interview process I kept hearing about this really cool company named Koch Industries (from all my business friends and even my roommate). It intrigued me, so I did a little research. I found out it was the second largest privately held firm in the country and the corporate culture and values were exactly what I was looking for, but it was nearly impossible to get into. I was told they received 500+ resumes from each campus and would be visiting half of the Big 12 schools in the region. Somehow I got an initial interview, which later led to more interviews… which later led to a job offer from Koch. It was right around the same time I received an offer from BOk. My heart was telling me to stay here in Oklahoma (where my friends and family were), but a friend challenged me to get out of my comfort zone and try to move away to truly be “on my own.” I figured if there was anytime to do it, it should be now while my parents were young and in good health. I also figured that God wanted me in Houston working at Koch (since I somehow received a job offer and made it through all of the interviews, which was roughly a 1/3000 chance). The decision to move to Houston and work for Koch was a decision that ultimately chanced my life and my parents lives forever…
CHAPTER 2: First “Real” Job
I waited until the night before to start packing my apartment, it was around 9-10pm. Maybe it was because I tend to procrastinate at times… or maybe it had to do with not wanting to leave my friends and family… or maybe I knew that taking this job was a mistake. Was I was getting cold feet? Should I have listened to my heart? Did God try to warn me during my visit? I could recall it was rainy and overcast the whole time I was there. The rain started shortly after I arrived and did not stop until I was at the airport to leave. That memory has always stuck with me.
The following morning my mom and best friend from high school came to help me move from Stillwater to Houston. I hadn’t finished packing my kitchen, so my mom volunteered to finish it. My buddy and I started loading the u-haul truck. I was scared. I didn’t know anybody in Houston. I was leaving everything behind… my family… my friends… my life… and starting all over. It finally hit me and reality sank in (like the Titanic). However, at this point the decision had been made and I felt like there was no turning back. My mom and best friend were already there to help me move. There was a job and apartment waiting for me in Houston. So I decided I was going to make it work… for better or for worse… till death do us part. I was committed.
Later that morning, my mom and best friend drove with me down to Houston to help me begin a new chapter in my life. They helped me unpack and pick out things to buy for my new “luxury” apartment. My apartment was located in Houston’s galleria area (the really nice side of town). I ended up at this apartment complex because the Realtor (who found out I was a new employee at Koch) kept showing me extremely expensive apartments. The rent on the first two apartments were twice a
s much. I finally turned to her and said, “Do you have anything cheaper? I really like those apartments, but I’m not interested in spending that much money for a one bedroom apartment.” The Realtor knew I was running out of time before I had to catch my flight home. The next apartment complex was the place I selected. It was expensive, but it felt like a bargain after seeing the first two apartments. However, I have to admit the apartment was pretty cool. It had cobble stone walkways, statues with water pouring out of their mouths, a nice pool in the middle courtyard, free laundry facilities, a gated community, another larger pool that was heated, a huge outdoor hot tub, and much more. I thought to myself, this is definitely going to be a whole lot different than college (where three of us guys shared a small rundown 3 bedroom apartment). All of the perks of the new apartment got me excited, but that soon wore off after they left. I felt like the loneliest person on earth. Even though I’m an extremely outgoing person and pretty independent, I was sad to see them go. At this point in my life I didn’t know what it meant to have a relationship with God. I was totally clueless, even though
I grew up in church and attended a Christian school from 3rd to 8th grade. Over the next couple of months I tried to make friends at work… in my apartment complex… at pickup basketball games… at the park riding my mountain bike.. and at my new church. I would work 60-80 hours a week, but when I found time I would try to meet people. Everyone was so busy, including me. I ended up making a lot of friends, but these relationships were more like acquaintances. I was missing those deep relationships that I left behind in Oklahoma. You know the ones… the friends that stay up all night with you just talking about life. Desperate to see my friends and family, I bought basketball tickets at OSU. I drove down most of the time (an 8 hour drive one way), but every now and then I flew to the games.
At the same time, my first cousin was living in Laredo (TX) with her husband (we are only 1 month apart and grew up together in Chicago). I spoke with both of them frequently and begged them to visit me as often as possible. When they were visiting I would try to convince them to move to Houston. I would point out all the beautiful and fun things to do… hoping to get their attention. After a few months of subtle or not so subtle prodding on my part, my cousin Krista and her husband Jeremy finally decided to move from Laredo to Houston.
When I finally had my cousin and her husband (whom I adore) living in Houston with me, everything started to look brighter. We would go out to eat all the time, go to festivals, hang out at their pool, stay up and talk, etc. Life was good. At this point, Houston had really started to grow on me. Some of it had to do with my cousin being down there with me. My cousin and her husband loved it and began telling other family members to move down to Houston. Even my parents decided to come down for a visit over the 4th of July weekend, just to check things out. They arrived in the middle of the week, but I was completely swamped at work so they decided to take a trip to San Antonio for a few days (to visit the Riverwalk). Their plan was to return to Houston on July 3rd and spend the 4th of July weekend with me, but things never go as planned.
I remember how bad my heart was pounding… the not knowing part was killing me. I prayed and prayed that it was all just a bad dream. Finally I was able to get in touch with a nurse at the hospital who filled me in on part of the situation. She told me that my mom was a little banged up, but my father was seriously injured. She went on to tell me that due to his injuries he would have to be transported to a much larger hospital in San Antonio where they would be able to find out the extent of his injuries. I thought to myself… this doesn’t sound good. Then she told me she was not at liberty to give me any more details until they knew the ful
l extent of his injuries. Immediately I felt sick to my stomach. I was a zombie at work over the next couple of hours, which seemed like an eternity. Finally my mom called and I was able to speak to her for a few brief minutes. She couldn’t talk long because they were getting ready to transport my dad to the other hospital. My mom filled me in on the accident. She told me they were on their way back to Houston and she really had to use the bathroom. My dad tried to make a quick exit and the exit ramp was extremely sharp. They went over the side. They were actually airborne for a little while before their vehicle hit the ground. My mom told me she sustained whiplash, but that my dad had been in agony since the accident. Right after the accident occurred my father kept telling my mom his back hurt, which is very abnormal because he has never complained about pain. Over the years my dad has had some pretty serious injuries, but he has always maintained a very high pain threshold. Years later we would learn that he was paralyzed at the accident. After listening to my mom tell the story I knew I would be useless at work, so I asked off for the rest of the day not knowing when I would return.
Once home, I packed my bags and headed for San Antonio. I called friends and family to fill them in on the situation. A good friend from college (who lives in Dallas) could sense the despair in my voice. He immediately dropped everything he was doing and left for San Antonio to help my family. He is a true friend. On his own dime he paid for a hotel room for me and my mom and pretty much took care of us over the next few days.
By the time I made it to the hospital my dad was halfway through his 9 hour surgery, but it turned into a 12 hour surgery. They had to cut my father across his stomach from hip to hip to pull out his organs, so they could clean out bone fragments from his shattered back. They were able to repair some of the damage to his spine with donor bone, but still needed to do more. Later they flipped him over and cut him straight down his spine so they could insert two 10″ steel rods into his back (just to hold it all together).
While we were waiting for my dad to come out of surgery I was trying my best to comfort my mom. Little did she know I was a basket case inside. I was trying to stay strong for her, but it was extremely difficult. She told me that my dad was preparing to die before the surgery. He was telling her about his life insurance policy and how our lives would be better without him in his current condition (because he didn’t want to be a burden). He gave her the impression that he didn’t want to live through the surgery. This was coming from the man she loved and adored, her soulmate. When I heard this story I had to fight off the tears that were welling up inside. Over the next few hours while my dad was in surgery I tried to be her rock. While we continued to wait, I would periodically leave to get “something” but I would use this time to call my friends and sob.
CHAPTER 4: My Father
When I finally saw my father after the surgery, it was the hardest thing to take in. The image of my father in his hospital bed will forever be burned into my memory and stay with me for the rest of my life. You see… before the accident my father was a very strong and active 47 year old man. Me and my friends had a hard time keeping up with him when we pla
yed paintball, went golfing, went snow skiing, went to the lake, just about anything. Sometimes people would mistake him as my older brother… and he loved it. Then there were those times (while I was still in college) when my dad would get together with my friends and play paintball (when I couldn’t make it home for the weekend).
Growing up my father had always been the hard working parent who supported his family financially, but there were consequences. My brother and I didn’t see much of my father because he had to work two jobs just to make ends meet. I was a little heartbroken as a youngster because I was involved in every sport possible, but my dad never made it to one game. From fourth through eighth grade I played soccer, basketball, ran track, and played baseball. However, it wasn’t until we moved to Oklahoma (as a sophomore in high school) that my father made it to his first game. In high school I played football, participated on the weightlifting team, and ran track. I continued to be very active. My dad worked at a nearby industrial park as a machinist (which is what he’d been doing his whole life). However, in Oklahoma he didn’t have to work multiple jobs to make ends meet. This was a refreshing change for our family. He worked a graveyard shift from 4:30pm to 3:00am Monday through Thursday. Although he might of been sleepy at times, he never missed a home football game. I could always turn and see him and my mom waving at me in the crowd (like every proud parent in the stands). Then after each game they would be waiting for me so my dad could say good game and my mom could hug me and tell me she loved me. I never told them how much this meant to me. More often than not, they would attend away games in remote towns in northeast Oklahoma. I can remember many of these away games they attended, but one in particular really stands out. One Friday night we had a game in remote town in Kansas, OK. I remember that night really well because it was so bitterly cold and not many people came to the game, but there in the stands were my parents smiling and waving. It was hard to believe this was the same person that lived in Chicago. He had come a long way… he had become my best friend.
When I walked into my dad’s hospital recovery room I was only allowed to come to the foot of his bed. He looked fragile and broken. His head was swollen about twice it’s normal size. His lips were extremely dry and chapped. Every few minutes he would motion for a little water, but the nurses could only swab his lips with a wet q-tip. This broke my heart. I also remember his body shaking violently because his body temperature had been lowered during the surgery. His lips and face were still blue. The whole time I was in there I had to fight off the tears and emotions that were welling up inside. He looked like he was in immense pain and suffering. If someone had said something to me, I would have lost it.
CHAPTER 5: The Recovery
The recovery for my dad was a long and winding road. There was a bright spot early on. I specifically remember the day after the surgery. When my mom, brother, and I came to visit, the nurses had my father out of bed (to my surprise) and walking a few baby steps near his room. They reassured us that he would be fine. For brief moments he would grimace like he was in pain, but they told us he will still pretty “juiced” on mediation and therefore wouldn’t feel much pain or remember much. They also explained the faster he gets up and walks, the faster he will heal. After enduring many grueling days in the San Antonio hospital, the doctors finally released my father to go home. The prognoses looked better. He was walking around a little more each day. These were baby steps, but it was a miracle that he wasn’t paralyzed for life. Thank God! I thought to myself, if someone was going to get through this it would be my father. He is determined, a hard worker, and has a high pain threshold. When my parents arrived back in Oklahoma, I remember how my mom would call me crying because she couldn’t do something correctly for my father. You see, my dad did all of the things most men do for their wives. He changed her o
il, mowed the lawn, changed light bulbs, etc. When he couldn’t do this anymore, it killed him. No longer was he the strong husband that took care of her physically, financially, and emotionally. Now it was my mom who took on all these additional duties. I know it was a very trying time in their relationship, but it was my mother who stood by his side never wavering in her commitment. I remember one night in particular when my mom called me and she was crying. She had been out in the garage changing the oil in her car (for the first time in her life). My father was out in the garage instructing her what to do, but she didn’t understand and couldn’t do it right. My father became impatient and frustrated, which later led to bitterness and anger. In his mind, it wasn’t hard at all. He had done this sort of thing his entire life and couldn’t understand what was taking her so long. He was feeling helpless and was taking out his anger on my mom. She ran inside the house and called me. I did my best to comfort her from hundreds of miles away. I had to hold back the tears because little did she know that it was I who needed comforting. This whole situation was making me sick. A few days later she called me again. She was crying after trying to figure out how to use the lawnmower. Later in the conversation she would tell me how she wished I was there to help her change a light bulb earlier that day (because her neck was still hurting from the whiplash). That was the final straw. I had finally had enough. It was killing me to hear about my parents struggles and to be helpless to do anything about it. I was also nervous about their finances since it was my dad who had been the only one working for the past few years. I knew my father wasn’t receiving any type of money from his job (since he wasn’t hurt on the job). After a few days back to work, I considered staying in Houston for a new job because of a 20% pay raise. I reasoned to myself that I could at the very least (with this new job) help my parents financially.
CHAPTER 6: Banking
The same week I was offered the new job in Houston, OSU was having a career fair that Friday. I remember this because the very next day (Saturday), I received a call from Bank of Oklahoma (BOk) to setup a phone interview. One of the guys working the career fair booth at OSU was a guy named Scott Cooksey. It just so happens he was a guy going through the BOk interview process the previous fall with me. During the interviews at BOk, I remember sitting around talking to “Cooksey”. We quickly became friends. About halfway through the day he turned to me and asked if I would take the job if they offered. I told him yes, not knowing I would receive an offer from Koch a few days later. It was this relationship that helped bring me back to Oklahoma. You see, when my college friend went to the BOk booth to drop off my resume it was Cooksey who recognized my last name. He immediately turned to show the main recruiting lady (her name was Carol), who was also working the booth. It just so happens they both remembered me (how could anyone forget a last name like Iwanaga). When BOk called me that Saturday I explained that I didn’t want Koch to know that I was looking around. I told this woman that I would probably be working late all week and asked her if there was anyway to do the phone interview in the evening when I came home from work. She assured me this would not be a problem and gave me the phone number of the person to call Monday night (which happened to be Carol). After coming home from work late Monday evening, I called the phone number and I began the interview. We talked about many things, including why I was leaving Koch to return to Oklahoma. Towards the end of the conversation, Carol asked me if I would like to come to Tulsa for an interview. I said absolutely! She asked me when I could come. I explained to her it might be a problem since I did not have any vacation days. She told me it wouldn’t be a problem, they’d just do the interviews on Saturday. Then she proceeded to ask me if I could come that Saturday. Wow! I thought to myself… God sure does answers prayers. Even though I hadn’t received a job offer at that point, I was at peace knowing that God was moving in a mighty way.
BOk flew me to Tulsa Friday night and I was finally able to spend some quality time with my folks. Everything seemed to be going perfect. Saturday morning I headed towards 71st & Yale. I really didn’t know what to expect during the interviews. I wasn’t nervous, but I couldn’t stop wondering about the interviews. Things like how many interviews I would have that
day, who was going to be there on a Saturday to interview little old me, how long and formal were the interviews going to be. When I arrived at the BOk mortgage company building (this is where the interviews were being conducted) a young man named Jason came out to greet me. I didn’t know it at the time, but he was one of the main recruiters and instructors for the BOk’s management trainee program. After he led me up a few floors to where the interviews would be, I couldn’t stop thinking about how unbelievable this whole thing really was… I mean here I was a week later in Tulsa… interviewing with the largest bank in Oklahoma… and there were people actually taking time out of their busy schedules just to interview me… on a Saturday! I just couldn’t believe how quickly everything was moving. When I finally made it to my first interview, I couldn’t believe that I was sitting across the table from the second most powerful man at BOk, Jim Hollman. He was the president over the entire trust division (which managed more assets than the entire lending side of the bank). In addition, he was the president over the entire mortgage company (which still is the largest mortgage company in the state of Oklahoma). I was absolutely blown away that he was here to interview me! I can’t remember who actually interviewed me after that (I was still in shock about Jim). When I finished my last interview and headed towards my car I knew, without a doubt, that if BOk offered me the job I would say yes. I stepped into my car and said a little prayer to thank God for this opportunity and for his hand in these matters. On Monday afternoon, I received a phone call from BOk letting me know they were offering me the job. When I called Carol back that evening, we discussed salary and how much I would be making as a trainee… my heart immediately dropped. I told her how much I was making at Koch and how much I was recently offered by another company in Houston. She assured me she would find a way to work this out, but she knew her hands were tied because the trainee’s salary had to be capped at a certain dollar amount until that person graduated from the program. When she started talking about moving expenses she came up with the idea of paying me the difference in salary in the form of a moving expense check, which was great because it immediately gave me $5000 to move back to Oklahoma. I used some of the money to move and some to help my parents. I couldn’t have been more blessed. Now I was really anxious to get back home.
CHAPTER 7: Moving Home
When I returned to work the following day, I told my boss that I accepted a job back in Oklahoma and therefore wanted to give him my two weeks notice. I explained my desire to move back to Oklahoma as q
uickly as possible. He was very understanding and knew the situation with my parents. He told me to transition my accounts to other people in the department and once that was done I was free to leave. By Thursday, all of my accounts were transfered and I started packing my house. On Saturday I was on my way to Oklahoma and by Monday I was working for BOk.
I decided to move back into my parents house in Adair, Oklahoma. My dad is a typical man and had issues with taking money from me to help support the family. Therefore, I had to devise a plan that he would agree with and finally came up with the idea of paying him rent. The funny thing is the “rent” was higher than any place I ever lived… including my high rent apartment in Houston. I used to chuckle about this, but never said anything to my folks. When I finally settled in back home I helped my mom update her resume, brush up her interviewing skills, and had to give her a few
computer lessons so she wasn’t so afraid of computers. The first job I helped her with was a place called Commercial Financial Services (also known as CFS). Every morning we would get up together and drive to Pryor, Oklahoma to pick up my friend Kai (who also worked at CFS). Some days I would drive, some days my mom would drive, and some days my friend Kai would drive. CFS was a great job for about a year, that is until they went bankrupt. It wasn’t long before I was able to convince my mom to look at BOk. I thought it would be good for our relationship. At this point we had stopped car pooling because I had moved to Tulsa, but I was looking forward to working in the same building with my mom. Some days I would get so busy that I wouldn’t stop to eat, but this would change once my mom started working at BOk. Everyday she would come by my office to have lunch or meet me somewhere. She was persistent and would make me eat no matter what. She knew I would take time to eat if she made lunch for the both of us. I loved this time together. It wasn’t because of the free lunches (although they were nice), but it was the quality time my mom and I had together each day.
About two years into my job at BOk I was having trouble working for my new boss. He was a smooth talking salesman. He could sell anything to anyone. It didn’t take me long to realize that all he cared about was making more money, no matter the cost. I started bumping heads with him when he would instruct me to sell certain products to customers who didn’t need that particular product, just to make an extra buck. I also had issues when we were on business trips together. At the time, I wasn’t old enough to rent a car by myself so he had to accompany me on all my business trips. On one particular business trip, we ended up being snowed in at the Kansas City airport on a layover from a Chicago. It was late and the only thing still open was the airport bar. With a few flights stranded at the airport, it didn’t take long for people to make their way to the bar. It was jam packed. My boss found a spot at the bar, but I was feeling a little uncomfortable sitting there because the place was packed and I was drinking water. On the other hand my boss was downing beers right and left and giving me grief for not doing the same. It didn’t take him long to start hitting on the lady sitting to his right. I leaned over to take a look and noticed she was married. This didn’t deter my boss, who happened to be 40 something and dating a 25 year old blonde bombshell that he hired in hopes of one day dating. He finally got his wish a few days before the trip. I couldn’t believe he was dating a 25 year old and still had the nerve to go after a 40 year old married lady from Houston. The next thing I know, he turns to me while talking to her and says “we” and it totally caught me off guard. The next time he turned and said “we” to her I immediately spoke up and make it clear their was no “we” in this equation. If this wasn’t bad enough, it got worse later on. Both her flight and our flight were eventually canceled. I thought we were going to spend the night in the Kansas City airport, so I asked my boss to consider renting a car to get home. Suddenly there was an announcement by the airlines and they were going to combine our flights on the plane that had just landed. For the moment, the snowy mix had subsided and one runway was being kept clean. The airline explained they were going to spray deicer on the plane until it left the ground. The plane was taking passengers to Tulsa then continuing on to Houston. Once we began boarding the plane things got ugly. I was the first one on the plane, so I walked to a window seat towards the back (it was Southwest Airlines so we could sit anywhere). I was hoping that my boss and his new “friend” would not be following me, but they did. As soon as they sat down he was all over her. He started kissing, grabbing, and rubbing every body part while I was sitting to his other side. I immediately got up and moved to an open seat in the back of the plane. This was one of the longest and most uncomfortable plane rides in my life. The whole time I could hear them getting hot and heavy. This was the last straw for me. I knew immediately I would be looking around for a new job when I got back to Tulsa. By this point every minute around him made me sick. I was fed up with this guy’s morals, ethics, and sell at all costs philosophy. My distaste for him ended up spilling over into every relationship and it was making life a struggle for me.
CHAPTER 8: Direction In Life
After many miserable days working for my boss while looking for a new job I finally had an epiphany. It was a beautiful afternoon and I was eating lunch outside with my mom, when I asked her about something that had been on my mind. I had been contemplating over the past few days about becoming a teacher. I always wanted to be a teacher, but my plan was to make millions so that I could change the world and not have to worry about money. But the truth of the matter is that I didn’t want to give up control of my life and turn everything over to Him. Having to completely depend on God for the first time in my life was a scary thought. However, I was finally to the point where I was ready to do anything to get away from my boss. Even though I was serious about becoming a teacher, I was struggling with how to break the news to my parents. I didn’t want to disappoint them. I had always done well in school and ever since I was a little kid the entire family always said that someday I’d be very successful. I always felt like I had these huge expectations to live up to from my family. In addition, I always wanted to be able to take care of my parents financially when they got older. I knew my parents didn’t have the financial resources to plan ahead for retirement. I was nervous when I told my mom about becoming a teacher, but I felt more comfortable starting with her instead of my dad. I started to explain my logic for becoming a teacher. I explained how I enjoy being around people (which is why I was in sales), and how I love working with students (which is why I was involved in the youth ministry at Asbury), and how I loved playing and watching sports growing up. I concluded that the only job that would allow me to do all these things is teaching. Then I said the icing on the cake, so to speak, was that I loved to travel and teaching would allow me to do this during the summer.
The next couple of days were discouraging. I started calling a few colleges and I kept getting the same answer. You must come back to school if you ever want to be certified to teach. All of the colleges also told me about the additional years that would be required to finish a teaching degree. Not interested in going back to school, I was really beginning to wonder if teaching was the right thing for me. In the midst of these struggles I remember praying to God one night about how He would have to open some doors if He really wanted me to be a teacher (because I knew I couldn’t do it on my own). I had heard from someone about this thing called alternative certification, but really didn’t know much about it or where I could find information about it. One day an idea popped into my head to look in the phone book and found the phone number for the Oklahoma Board of Education. I figured if anyone knew about this alternative certification program, it would be them. When I called them it was a like this huge weight being lifted off my shoulders. They were able to tell me everything I needed to know about the alternative certification program. They told me who to contact, what to do, when the deadlines were, where to go, and how to find the answers to any questions that might arise. This was a huge answer to my prayers. I soon discovered that I needed to get moving if I wanted to be a teacher by the fall semester. It was late March or early April. I found out I had to take and pass at least 3 tests, but I could only take 2 tests at a time. The problem was the only testing dates were in May and July. I had already missed the normal registration period for the May tests, but later found out I could pay a late fee and still take those tests in May. I went ahead and registered for the May and July testing dates.
A few days later I called a buddy of mine who worked at the OSU career fair office. He gave me the dates for the teacher career fair. I took a vacation day and made my way down to Stillwater to interview for teaching jobs. The fair allowed me to meet with a bunch of different schools. I couldn’t believe there were schools from California, Arkansas, Texas,
Oklahoma, etc. I had no idea there would be so many schools coming to this career fair. After meeting and talking to a few school districts, I was able to narrow down my choices to a 4 Tulsa area schools. I wanted to either work for Union, Jenks, Broken Arrow, or Holland Hall. Towards the end of the career fair, teachers were able to sign up for 15 minute interviews with each school district they were interested in. Eventually I made way around to all four school districts. The purpose of these short interviews were to introduce the school districts to interested teachers. In turn the school districts had an opportunity to get to know some teachers and invite them back to the career fairs at their school.
CHAPTER 9: God Opens Doors
Towards the final days at BOk my boss started talking to me about how I needed to improve and sell more, or else. The funny thing was when I left BOk, I was the leading sales person for the department for the first quarter. I was slightly under the departments sales goal for the year, but this was after one quarter. This made my day. On the other hand, I could tell this made my boss angry because I did it without compromising my morals and ethics. He never once congratulated me or told me great job. I was so tired of working for my boss that I put in my two weeks notice in the middle of May. I had faith that God would provide. I told God it’s in His hands now and knew He would have to open some major doors for me.
I remember going to the Broken Arrow career fair shortly after tendering my resignation to the bank. When I walked into the gym at Broken Arrow I saw hundreds of people interviewing for jobs. I made my way to the main table to sign in and find out who was interviewing me. As I signed in I noticed that I was interviewing for a position at the “alternative” academy. I was expecting to be interviewing for a math position, but I was up for the challenge. After the interview I was walking away when one of the principals who interviewed me at OSU noticed me. I barely rememb
ered him and had forgotten his name, but he ran up to me and shook my hand. He said, hey it’s John and you’re Paul, right? I was in complete shock, but I was still able to somehow say yes. He then proceeded to ask me to lunch. He told me he was planning to eat lunch with a few other principals and asked if I was interested. I said sure! He told me his group was heading to the Coney Island on 71st & Lynn Lane. Since I wasn’t familiar with the area, I told him I would follow him. After ordering some coney dogs we sat down and started talking. He explained the Broken Arrow career fair was a total mess. Somehow the people organizing the event had messed up because they were supposed to be interviewing math and science teachers, instead they were interviewing history and English teachers. He went on to say that he saw me and remembered our 15 minute conversation at OSU and was very impressed. He asked me if I would be interested in teaching math at South Intermediate High School (9th and 10th grade center). I said absolutely. I told him I hadn’t taken or passed any of the tests yet. He said that wouldn’t be a problem and that he had faith in me (that I would pass). After lunch he brought me to South Intermediate to meet the main principal and the math department head (a guy named Derek who I would later become great friends with and few a years later I would learn his best friend growing up was my best friend in high school). When we arrived at South, he showed me around the school and introduced me to everyone. We all sat down in the assistant principals office and the rest of the people interviewed me. A few minutes after the interviews, they all left together and came back with a teaching contract to sign. I was absolutely blown away.
CHAPTER 10: God’s Blessings
I had asked God to open doors, but He was knocking them down. Before I signed the contracts, I reiterated that I hadn’t taken or passed any of the tests. They said it would not be a problem. They had faith in me. However, I would only have one shot at each test. I would be taking two tests in May and two tests in July, but if I failed any of the tests I would be out of a job. There was no room for error. Although this would intimidate most people I was pretty calm about the whole ordeal. I had faith that God really wanted me to be a teacher (especially after all that had transpired). I knew a thing like these tests would not prevent me from being a teacher. When I finally took the tests, the ironic thing was I took two of the tests at South Intermediate in the room that was supposed to mine.
As if God hadn’t blessed me enough already, He decided to take it a step further. I was a little worried about my finances. I still had some school and car debt to pay which amounted to $12,000. I was wondering how I was going to pay off these debts on a salary that was 1/3-1/4 of my bank salary. When I finally left Bank of Oklahoma at the beginning of June, I received my first quarter sales check (bonus) which amounted to $17,000. This allowed me to pay off all my debts and still have $5000 to live off of until the school year started in August. Then over the summer, I received a call from John (the assistant principal who recognized me at the Broken Arrow career fair). He explained that a computer position had opened up over the summer and based on my background he wanted to know if I would be interested. I said absolutely! I told him that I really wanted a computer position, but didn’t want to mention anything because I was grateful for the math position. God is so faithful! However, the most incredible blessings were yet to come.
Before the accident, I would have never imagined that I would be a teacher (before the age of 40 at least), or that my mom would be following her dream to get a college education from a Christian school (she graduated in May of 2008 with a theology degree from ORU), or that my dad would be surrounded by many spiritual mentors at his job (he works at ORU). You see, when I moved back to Oklahoma I became heavily involved in the youth ministry department at Asbury. Without this involvement, I would not
have been prepared to make such a leap of faith to become a teacher. My dad on the other hand, would have never left his job in Pryor, Oklahoma and therefore would not be surrounded by so many male Christians. Without my dad working at ORU, my mom would not have had the opportunity to go to school at ORU for free. All of these blessings would not have happened if it wasn’t for the accident. “With man this is impossible, but with God all things are possible” (Matthew 19:26). At the time of the accident, I could not understand why this was happening to our family. Looking back on the situation, I cannot imagine where my family would be if the accident had not happened. Just like the book “The Case for Faith” describes, God is all-knowing and God is all-good. Just like the bear that is caught in the trap cannot understand the motivations of the hunter because he is not human, we (as humans) cannot understand the motivations of God since we are not god. In other words, “How can a mere finite human be sure that infinite wisdom would not tolerate certain short-range evils in order for more long-range goods that we couldn’t foresee? So it’s at least possible that God is wise enough to foresee that we need some pain for reasons which we many not understand but which He foresees as being necessary to some eventual good. Therefore, He’s not being evil by allowing that pain to exist.”
At the prodding of one of my really close friends (a guy named Steve) I started attending a “Joshua Men’s
Group” in January of 2008. In this men’s group we would read and discuss Christian books. We liked to joke that it was our version of the Oprah book club. We would meet once a month and rotate between houses. One person would be responsible for leading the discussion and someone else would be responsible for hosting the meal. For me, it was an incredible time of learning, growing, and sharing. This is where I read two of my favorite books, “The Case for Faith” and “Quiet Strength.” These two books and a friend named Megan were my inspiration for writing down my life story in the spring of 2008 (the first 10 chapters). The men in this group and the books we discussed helped me get to a point where I was finally able to release everything to God. There were always two areas in my life that I struggled with surrendering to God. Those two things were relationships (God’s vision of my future wife, or even worse no wife, versus my idea of my future wife) and becoming a missionary (for more than just a week). I always had this big fear of being called to be a long term missionary in Africa and it wasn’t until early November that
One night in the Joshua Men’s Group a discussion arose about a college course called “Perspectives“. A few of the guys in the group had recently taken the class and were raving about it. They said it would change your perspective on missions. In the past I’ve heard the class referred to as the “missionary class” because of the number of people that take the class and end up on the mission field. Since Steve prodded me to be a part of the Joshua Men’s Group (even though he knew I disliked reading books), I figured it would be fair game to challenge him to take the Perspectives class with me. Every so often I would ask him, “Are you going to take the Perspectives class with me?” He was hesitant, but I knew if I asked him enough he would realize how serious I was about taking the class. During Christmas break, after our Joshua Men’s Group had already come to an end, I asked him one more time if he would consider taking the class with me. I reminded him it was going to be held at our church, so we wouldn’t have to go to some unfamiliar place to attend the class. A few days before the class started, Steve called to tell me he read on www.perspectives.org that we could attend the first night for free (he wanted to get a better feel for the class). I already knew I wanted to take the class, but I knew that if he just showed up for the class that God would do the rest.
After the first class we attended, I felt a tug on my heart to invite my mom. My mom and I do not have
anything in common, except our faith. I really wanted to be able to share something with my mom. I always seem to find some common ground with my dad, but finding something to do with my mom and brother is a challenge. I explained the nature of the class and how much it cost. My mom was a little reluctant at first. She had been looking for a job for almost a year and didn’t have the money to spend for the class. I assured her that if she really wanted to take the class I would give it to her as a present. She asked if she could take the night to think about it. The next day she called and told me she would do it. I was so excited! I was going to be in this amazing class with one of my best friends and my beautiful mother.
CHAPTER 12: Who Me
I remember back when I first started working with the youth at Asbury United Methodist Church, we took a spiritual gifts test. This also happened to be my first year of teaching. We were given the test to help the students and sponsors identify our spiritual gifts, but it had a second part to it. The second part of the test matched us with careers that would be a good fit based on our spiritual gifts. I can remember looking at the results of my test only to find a mistake… it said teacher #2 and missionary #1. I quickly crumpled up the paper and threw it in the trash. I was in my first year of teaching and had never been outside of the United States on any mission trip, so the thought of being a missionary was scary. A few weeks later I was in Rio Bravo, Mexico on my first spring break mission trip. That week turned out to be a life changing moment and left me yearning for my next mission trip. Until recently, I had completely forgotten about the results of that spiritual gifts test.
In the summer of 2008 I was hanging out with two very close friends named Bobby and Marsha. Marsha had stum
bled across the website for “The World Race”. I always wanted to travel around the world and this mission trip included traveling to 11 countries in 11 months. I clicked on the August of 2009 trip (the only trip I could do because of school) and it grabbed my attention. The August 2009 trip included stops in
On the evening of
January 20th, 2009 I had left my Life Group (a bible study for adults) to head over to Bobby and Marsha’s house. This was the routine I had become accustomed to doing every Tuesday night. I have always enjoyed this time together. They are an amazing young couple and two of my best friends. The time together also allowed Bobby and I time to do our accountability (normally after Marsha would to bed). However, that particular evening the three of us discussed this huge winter storm that was barreling down on Tulsa. We were trying to figure out if the church would cancel all of the activities scheduled for the next day. I really wanted to attend my Perspectives class and that led to a discussion about “The World Race”. I decided to pull up their website and click on the application. The first two screens only asked for basic information like name, address, phone, etc. After I submitted my information I thought I was done, but the rest of the application appeared. The application was a very detailed and lengthy five page application that seemed to scroll forever. I also noticed the required $39 application fee (which I assumed to be for a background check). I couldn’t believe the application was so long and wasn’t serious enough to pay the fee, so I just saved and closed the application. Luckily God wasn’t ready to throw in the towel like me.
he schools were going to be closed the following day. It was so bad I decided not to attend my Perspectives class. The good new was I have this tradition with Bobby and Marsha that whenever school is canceled I stay the night at their house. We usually stay up all night talking, playing board games, playing cards, and playing video games. That night I decided to look at “The World Race” website again and began to fill out the application. I didn’t have any excuses… it wasn’t going to cost me anything and I had all the time in the world (now that school was closed). When I finally completed the application it was 2am in the morning. On the application I had to list two references before I could send it. One of the references had to be a youth minister and one had to be a mentor. I put down Marsha (for the youth minister) and Steve (for the mentor). I didn’t realize that when I submitted the application it would automatically email both of my references. The next morning I was able to ask Marsha if it was okay to use her, but I didn’t have a chance to talk to Steve until later that morning. When I finally called Steve to ask his permission and he told me he finished my reference letter and had already sent it back to them. Later that same day, Marsha completed her reference letter and sent it back to them too. I was shocked to learn that they both turned it in so quickly. I was even more shocked when a lady called me on Friday to setup a telephone interview with me. I couldn’t believe everything was moving so fast. I wasn’t even sure I wanted to do this 100%. At this point I was just warming up to the idea. I went ahead and scheduled the interview for the following Wednesday. I figured why not… I have nothing to lose.
That Sunday our pastor was talking about missions and how the church could do so much more in the world if we had the resources (people willing to go and people willing to support). I felt like the sermon was just for me that day. At the end of the sermon he concluded with the results of a survey. The survey was directed towards a group of older adults who were asked one question… “Do you regret the things that you did or the things that you didn’t do?” He said 84% of the people regretted the things they didn’t do in life and only 16% regretted the things they did. At this point I felt convicted. When I arrived home later that afternoon, I came up with a list of obstacles that were preventing me from being a missionary. The first thing on my list was finances. I was tied down to a mortgage and car payment. The second item on my list was my auntie Carolyn (my mom’s sister who was a second mother to me growing up). She had been battling cancer for more than four years. The idea of leaving the country while her health was deteriorating made me feel uneasy. The third thing on my list was my job. I had this great teaching job and job security (which doesn’t come easy in our economy).
CHAPTER 13: Go
Later that same Sunday evening, I received a call from my mom. She told me that Carolyn wasn’t doing very well and had been admitted into the hospital a few days earlier. She called back later to tell me she was leaving in a few minutes and planned to drive all the way to
Chicago through the night to see her sister. I begged her to stay. I wanted her to wait until the next morning, but she refused. I prayed for her and asked a few friends to pray for my mom too. A wonderful and Godly friend of mine named Devon (who has never met my mom), took it a step further and called my mom to talk to her during her all night drive hoping to keep her awake. The next morning I called my mom on the way to work and found out she just arrived in Chicago. My mom told me that my dad and brother were going to leave sometime Monday afternoon and urged me to go too. I told her I couldn’t go until Tuesday evening because of my limited number of personal days. Tuesday evening I ended up flying to Chicago right after work. When I got to the hospital I was asked to stay up all night with my aunt. She had a breathing tube down her throat. Normally patients would be restrained so they wouldn’t be inclined to pull it out in the middle of the night by accident. However, our family has three nurses and they were able to convince the ICU nurses not to restrain my auntie Carolyn. The nurses agreed as long as we promised to keep someone in the room with her during the night and completely awake. I agreed to do it so my mom and cousins (who had been doing it for the past couple of nights) were able to get some sleep. It also gave me the opportunity to spend some valuable time with my auntie.The next morning after everyone was awake. I left the hospital to go get some sleep at my aunts house. I ended crawling into bed around 9am and didn’t wake up until 5pm
. The problem was my phone interview was that afternoon and I slept right through it. I immediately called “The World Race” contact and explained my situation. The person completely understood, so we rescheduled the interview for the following week on Thursday.A few days later my auntie Carolyn passed away. I was able to stay the rest of the week and attended the Sunday funeral. I had to get back as soon as possible for work, but I went ahead and took another day off on Monday so I could drive back with my dad. My brother and mom didn’t have to be back so quickly so they stayed an extra day. On the drive home my dad and I had some really deep conversations. He also talked to me about giving me and my brother an interest free loan. I kept telling him no thanks, but he kept insisting. I told him I had a great interest rate locked in and didn’t have much debt on the house. For the past few years, I had been paying extra each month to help pay off my mortgage early. Plus I had purchased a HUD home, so it was less expensive than the typical house (it just needed some tender loving care). I wanted to live below my means and not live paycheck to paycheck. The loan my dad was offering me wasn’t enough money to pay off my mortgage, so the next day he called to ask me what my remaining student loans were when I graduated college. He told me he wanted to pay me back for my college expenses and wanted that part to be a gift. Now I had enough to pay off my house. I had also been saving up extra money each month so I could pay off my car early. When I added up how much I had left over from my dad’s loan and how much I had saved up over the past two years, it was enough to be able to pay off my car loan too.

The next day I sat down with my boss (Dr. Dale) to tell him I might be going on a mission trip during the next school year. I’ve always been really honest and upfront with him. I also wanted to know if he would consider hiring me back when I returned from my mission trip. He told me that I should check into a leave of absence. I didn’t know much about it and never realized it could be used for a mission trip. Immediately after our conversation I called the human resources department at Broken Arrow. The wonderful lady who answered the phone told me to type up a formal letter to the board of education. At the next board meeting she said they would vote on it and reassured me they typically grant those requests. I submitted my letter a few days later. About a month later it was officially approved.
By the time the phone interview rolled around for the second time, all three things on my list (that I mentioned as excuses for no
t being a missionary) were gone. When I realized this I was blown away. It had been less than two weeks since I had come up with “the list”. The interview went great and they told me they would call me back in a few days to tell me if I was selected to be on the August 2009 trip. In the meantime, I started asking friends if they knew anyone who would be interested in moving into my house. I couldn’t find any takers. I talked to my dad and asked if he would check on my house if I couldn’t find anyone to live in my house. He agreed to do it, but didn’t like the idea. My parents live in another town about 35 minutes away, so it would be very inconvenient. I knew it wasn’t the best option, but at least it was something. I also realized I needed to find someone to cut my grass while I was gone because that would be asking too much of my father. I figured it would probably cost me about $50-$75 a month to have someone cut my grass every two weeks. I also started adding up all the bills for water, electric, and gas. I knew I had to pay them or have them disconnected while I’m gone. Then I started to think about how much it was going to cost for insurance and taxes each month and knew it would cost me another $150 a month. Add on top of that I had to raise over $14,000 for the cost of the mission trip… now I was starting to get a little discouraged.A few days later I was on Facebook and I noticed my friend Christy had sent me a friend suggestion for an old friend
named Kara (who I hadn’t seen in five years). I went ahead and added Kara hoping to catch up with her. A few days later she added me and we began talking on Facebook. We eventually decided to have dinner at one of my favorite Japanese restaurants. During our conversation I told her about my plans to go on this mission trip. I asked her if she knew anyone who would be interested in moving into my house. She asked me where I lived. When I told her she almost fell out of her chair. She told me for the past 8 months she had been praying to find a place specifically in that area. She was considering buying a house in my neighborhood, but mentioned she would be interested in renting too. I told her that I didn’t want much for rent because she would be helping me. She kept telling me it would be a huge blessing and answer to her prayers. I kept reminding her that she was a huge answer to my prayers. Later in the conversation she said, “By the way, I love mowing and doing yard work. I used to mow lawns in college. I miss not having my own yard and love landscaping too.”
house would be available. I was blown away. I told her
my trip leaves on August 1st. God had not only addressed all of my concerns, but He had blessed me more than I could have ever dreamed. For example, I’ve lived in my house for over 6 years and haven’t done any landscaping and Kara was eager to help me do it, not to mention she loved mowing too. She asked for time to pray about it (a few days later she told me she wanted to move into my house). When we finally left the restaurant I walked her to her car and jumped in. In the middle of our conversation, I received a call from “The World Race” letting me know I had been accepted. I was speechless…
CHAPTER 14: It’s a Miracle
On Novemeber 27th, 2008 (Thanksgiving Day) I was outside playing with my younger cousins. They were ex
cited about trying a new thing called geocaching. To do this you must go to
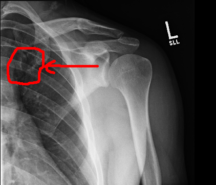
When I finally was approved to see specialist about my shoulder it was mid-December. I later learned from my bone and joint doctor (Dr. Dukes) that by relaxing my body was able to move my arm back into socket. He said in most cases the pain gets so bad that the person tenses up and they have to go to the emergency room to be put under sedatives so the shoulder can be put back into its socket. That same day Dr. Dukes requested an x-ray to be taken of my shoulder so he could see the extent of the damage. When the x-rays came back he noticed a little growth in my left shoulder. He said, “I don’t want to scare you, but you really need to get this looked at.” I took his advice and went to see my primary care physician, but he didn’t want to look at the x-rays and wouldn’t order a cat scan. I sent a copy of the x-ray to my friend Steve, who forwarded it to his old neighbor (who happens to be Steve’s doctor). Steve told me his friend also encouraged me to have someone look at it. At this point, I decided to switch my primary care doctor. I asked Steve if he could recommend anyone on my list of doctors. He saw a doctor on the list that happened to be a member of our church. Later I was talking to another friend named Alissa and asked if she knew of any good doctors. She told me about her doctor and how he’s been her doctor since she was a little girl and absolutely loved him. When she mentioned Dr. Reinking, who happened to be the same doctor Steve endorsed, I made the switch. Alissa also pointed out that Dr. Reinking was the father of our friend Amy. A few weeks later I found out his wife Karen was going to
Guatemala on a spring break mission trip and was going to be my co-leader. A few days later, on my first visit to see Dr. Reinking, he looked at the x-ray and immediately ordered a cat scan.At this point I had only told Steve, Bobby, and Marsha about the growth in my left shoulder and asked them to pray about it. By the time February rolled around I felt like God definitely wanted me to be on this mission trip. All I had to do is remind myself of all the obstacles I had already overcome, but at the same time I didn’t und
erstand why I had this growth in my shoulder. I couldn’t help but wonder why me… I knew whether this growth was benign or malignant the doctors would push me to have surgery to take it out for testing. I thought if that happens I’ll probably miss the mission trip to Guatemala
The night before my cat scan, I was with Steve leading our group of high school senior boy’s. As the evening concluded and we were about to pray, Steve let the cat out of the bag. He told our small group I had some type of growth in my shoulder. I was stunned, shocked, and a little upset that he told them considering I hadn’t even told my parents. He asked them to pray for me that night and the next day before my cat scan. The next day I went in for the cat scan. When the results came back a few days later, the doctors couldn’t find anything in my shoulder anymore. I was blown away again. It was a miracle… Wow!
CHAPTER 15: Clarity
Looking back on my life I can see some things very clearly. First, I know why I’m still single. I’ve realized that God has a plan for me. If I had married the last serious girl I dated, I probably wouldn’t be going on this trip… or if I had found someone I’d probably be engaged (or wanting to see where the relationship was heading). Second, I understand that God planted many seeds along the way, including that spiritual gifts test many years ago. Third, God knew when I became a teacher He could work on my heart (and give me a heart towards missions). I never had opportunities to go on mission trips growing up, so by becoming a teacher my schedule allowed me to go on mission trips over spring break and during the summer.
“Therefore, since we are surrounded by such a great cloud of witnesses, let us throw off everything that hinders and the sin that so easily entangles, and let us run with perseverance the race marked out for us” (Hebrews 12:1).
CHAPTER 16: Strip Club
For the past 10 years I’ve slowly been
striped of things that were hindering my walk with God. Years
ago when I was in banking, it was the lure of money that God rescued
me from. Before this mission trip I had a hard time trusting that God to pick the right person for me (or more
specifically would God select the person I wanted to marry). My thoughts would be…
but what if… I knew deep down that God wants what is
best for me, but idea of releasing all control to Him scared me to
death. Just signing up for the World Race meant I couldn’t pursue a
relationship for the 9 months before the trip, not to mention the 11 months
during the trip. For someone much younger than me, this might not
have been a problem… but for me it was a hard pill to swallow.
After finally releasing this to God I thought I was done (my last hurdle), but that was not the case.
During the last few months on the World Race I realized there were
more things God was asking me to release to Him. Eventually I realized my family, my friends, and even
my teaching job had become more important to me than following God’s will for my life. Sure I was giving up these things for 11 months, but
I always believed I would be going back to Tulsa. Before the trip I
couldn’t imagine myself doing anything else because I absolutely
loved teaching, coaching, and working with the youth at my church.
Fast forward to May 10th in Vietnam… I remember back in Nam (I’ve always wanted to say
that) when one of the staff members of the World Race spoke with me
over Skype. I told him about my plans to continue teaching and
possibly help out with the World Race in the summers. He challenged
me to do more, then asked me to pray about it. My response was
“okay… I’ll pray about it,” but had no real intention to
actually consider the job. I didn’t believe for a moment that I would
ever work for this organization full time. That evening began a 5 day
stretch where God revealed and confirmed things about His plans for me once the World Race was over.
Day
1 (May 10, 2010) – Before going to bed that first night, I opened my Bible to the next daily devotional. It was titled “Going All In.”
In the devotional it says, “Jesus used some powerful words to
describe what it means to follow Him as his disciples. Essentially,
He says to us still today, ‘If you’re going to follow Me, you have to
go ‘all in.’ There’s no such thing as a part-time disciple. You can’t
be fainthearted, just curious, or apathetic. We can try to give
Christ less than everything. We can approach our faith halfheartedly
– just getting by, hanging at the edges of the game for a while but
never committing wholeheartedly. Or we can go ‘all in’ as we follow
Christ, putting our ALL on the table for Him.”
Day
2 (May 11, 2010) – The next evening my scripture reading included the parable about the rich young ruler in
Luke 18:18-30. In this scripture Jesus addresses a rich young man
about what it means to follow Him. He said to this man, “You still
lack one thing. Sell everything you have and give to the poor, and
you will have treasure in heaven. Then come, follow me. When he heard
this, he became very sad, because he was a man of great wealth. Jesus
looked at him and said, ‘How hard it is for the rich to enter the
kingdom of God! Indeed, it is easier for a camel to go through the
eye of a needle than for a rich man to enter the kingdom of God.’
Those who heard this asked, ‘Who then can be saved?’ Jesus replied,
‘What is impossible with men is possible with God.’ Peter said to
him, ‘We have left ALL we had to follow you!‘”

Day
3 (May 12, 2010) – I was walking down the street just in front of
our hostel in Ho Chi Minh City (also called Saigon) trying to find
cheap food for dinner when two fellow World Racers came up to me. One
of them was Matt Patton and the other was David Hepting. David
randomly gave me a prophecy about my future (by the way he had no idea about AIM contacting me). In the vision he received, he said I was running down a two lane
road against traffic on the
wrong side of the road. Suddenly a van stops on the other side of the road going the same direction
as me. The people inside the van ask me to
join them. The interpretation I received from this was… the van represents Adventures In
Missions (AIM) and their request for me to join their apprentice
program. I could continue to try winning souls on my own or I could join a great organization and do life together in community
and help bring Kingdom all over the world.

Day
4 (May 13, 2010) – On one of our days off a few of us headed to the
famous Cu Chi tunnels underneath Ho Chi Minh City. There are roughly
75 miles of these tunnels that have been preserved by the government.
We had to take a two buses about an hour away, so I decided to bring
my mp3 player with me. I hadn’t been listening to it for a long time
(about a month) and when I turned it on the first song was “Take My
Hand” by The Kry. If you have never heard the song, please listen to it. Here is a link to the lyrics and a link to hear
the song. The song talks about when our dreams turn to dust that God
desires for us to take His hand and walk where He leads.
Day
5 (May 14, 2010) – I received a Facebook message from one of my
best friends Steve. In the message he said, “I never envisioned you going back to
teaching.” This was the final straw for me. Although, during this
entire process I kept telling God that I needed to be hit in the head
with a brick (my metaphor for a big sign from God) if He wanted me to
do something else besides teaching. However, after reflecting on this
thought for a while I realized the person before this mission trip
needed that type of confirmation (i.e. the possible cancer growing in my chest that was miraculously healed). But was I a different person now, not to mention I did not need or want something like that again.
On this trip I’ve been learning to be a better listener and to seek
God’s will for my life. It took me awhile, but God is first and “I Am Second“. A couple of days later I emailed my resignation letter to Broken Arrow Schools.
Shortly after these events took place, God laid this scripture on my heart (John 21:15-18). “When they had finished eating Jesus said to Simon Peter, ‘Simon son of John, do you truly love me more than these?’ ‘Yes, Lord,’ he said, ‘you know that I love you.’ Jesus said, ‘Feed my lambs.’ Again Jesus said, ‘Simon son of John, do you truly love me?’ He answered, ‘Yes, Lord, you know that I love you.’ Jesus said, ‘Take care of my sheep.’ The third time He said to him, ‘Simon son of John, do you love me?’ Peter was hurt because Jesus asked him the third time, ‘Do you love me?’ He said, ‘Lord, you know all things; you know that I love you.’ Jesus said, ‘Feed my sheep. I tell you the truth, when you were younger you dressed yourself and went where you wanted; but when you are old you will stretch out your hands, and someone else will dress you and lead you where you do not want to go.‘”
I am currently working in Georgia with the
organization Adventures In Missions (AIM) in the marketing department. I
thank God for this opportunity that is before me and trust He will
meet my needs.
